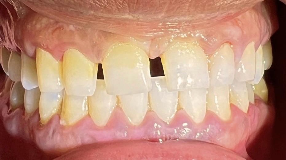
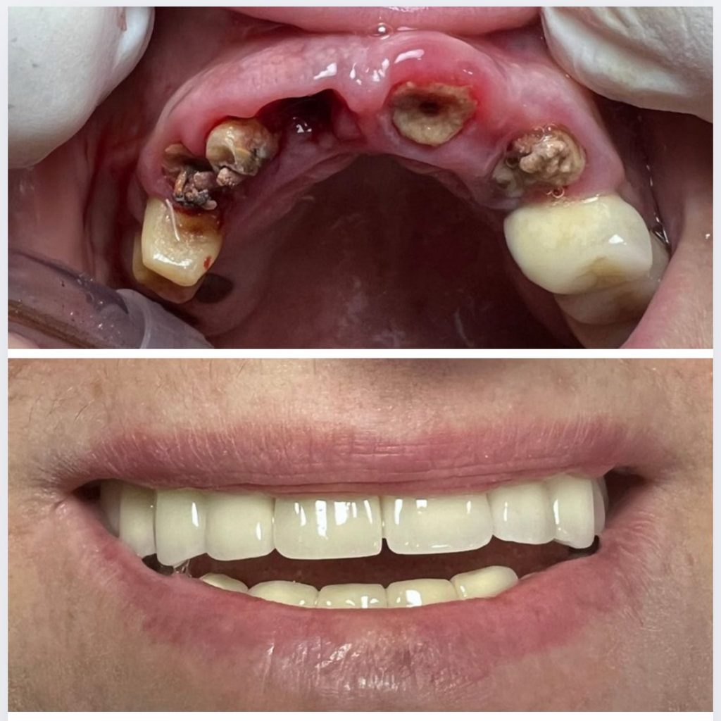
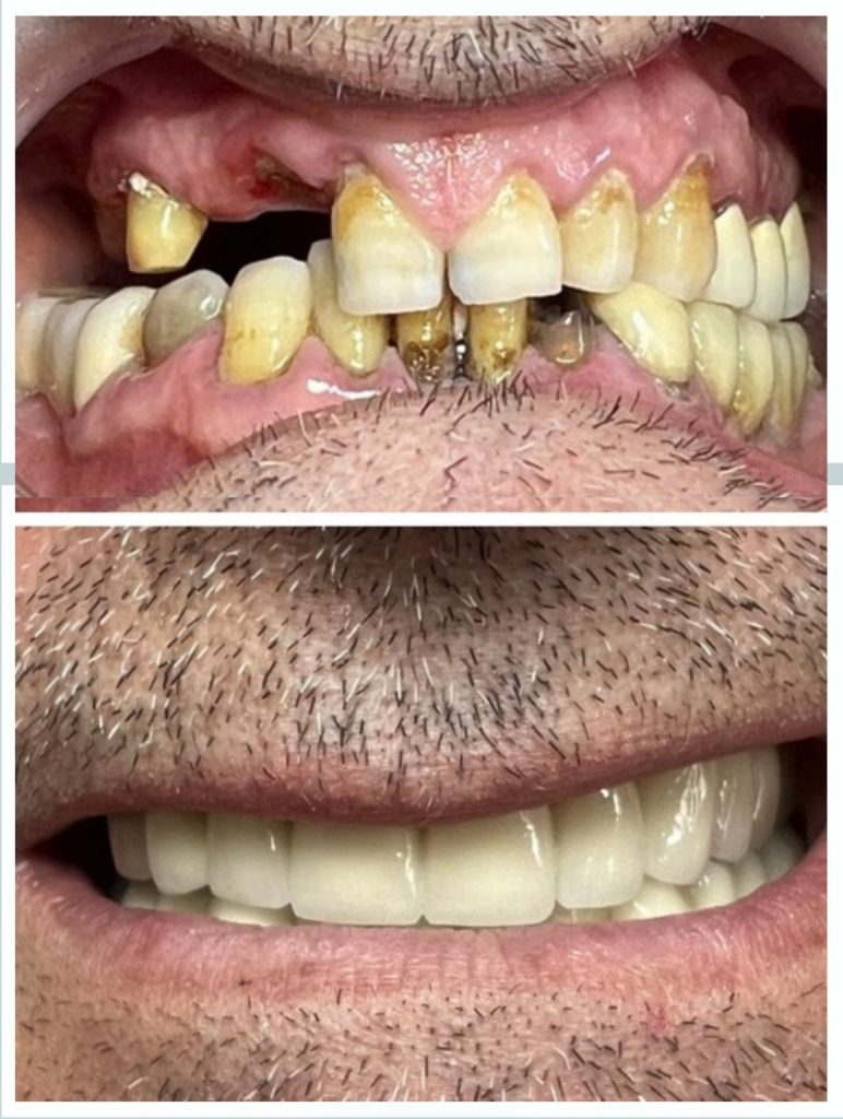
Antalya Alanya’da 29 yıllık deneyimle hizmet veren diş hekimimiz M. Cemil Alpaydın, hastalarına en yüksek kaliteli tedavi hizmetlerini sunmak için modern diş hekimliği uygulamalarını ve son teknolojileri takip etmektedir. Uzmanlık alanları arasında diş implant tedavileri, zirkonyum, porselen ve lamine diş kronları, post-core diş tedavileri, kanal tedavileri, ağrısız diş çekimi, total ve hareketli protez tedavileri ve periodontal (diş taşı küretajı) tedavileri başlıca hizmetlerimiz arasındadır.
Hekimlik kariyerine başladığı günden bu yana, her hastaya özgün bir tedavi planı sunmayı ve her türlü diş sağlığı sorununa çözüm üretmeyi ilke edinmiştir. Hastalarının sağlık ve estetik ihtiyaçlarını göz önünde bulundurarak, bilimsel temellere dayanan ve kişiye özel tedavi yöntemlerini benimsemektedir.
Amacımız, hasta memnuniyetini ön planda tutarak, en kaliteli sağlık hizmetini güvenli ve rahat bir ortamda sunmaktır. Alanındaki sürekli yenilikleri takip ederek, tedavi süreçlerinde en son gelişmeleri uygulamaya özen göstermekteyiz.
Sağlıklı gülüşler için her zaman yanınızdayız.




Diş hekimliği alanında uzun yıllara dayanan tecrübemizle uzmanlık sunuyoruz.
En son teknolojiye sahip ekipmanlarla yüksek kaliteli tedavi hizmeti sağlıyoruz.
Her hastamıza özel, bireysel ihtiyaçlara göre planlanmış tedavi yöntemleri uyguluyoruz.
Alanında uzman hekim ve destek personelimizle güvenli tedavi süreci sağlıyoruz.
Konforlu ve ağrısız tedavi yöntemleriyle rahat bir deneyim sunuyoruz
Hem fonksiyonel hem de estetik açıdan tatmin edici sonuçlar elde ediyoruz.
Tüm tedavilerimiz, hijyenik ve sterilize edilmiş ortamda gerçekleştirilir.

MÜKEMMEL 47 değerlendirme göre. 'da yayınlandı Serap KıdıkTrustindex, incelemenin orijinal kaynağının Google olduğunu doğrular. Cemil bey , yıllarca ağrısını çektiğim yirmilik dişimi sizin motivasyonunuz sayesinde dişimi sizin güvenli ellerinize bıraktım, deneyiminiz ve tecrübelerinizle mükemmel şekilde dişim çekildi, ellerinize, emeğinize sağlık, çok teşekkürler'da yayınlandı Елена ДобровольскаяTrustindex, incelemenin orijinal kaynağının Google olduğunu doğrular. Большая благодарность доктору ! Я очень довольна результатом'da yayınlandı Haluk DolaylarluTrustindex, incelemenin orijinal kaynağının Google olduğunu doğrular. Cemil bey öncelikle teşekkür ederim 26 adet dişim tedavi edildi Ve bu işlem benim zaman probleminden dolayi 3 gün içerisinde tamamlandı Inannin bir insanin hic mi disi ağrımaz O kadar mükemmeldi Herkese tavsiyede bulunuyorum Profesyonel bir tedaviydi'da yayınlandı Ceylin KuaförTrustindex, incelemenin orijinal kaynağının Google olduğunu doğrular. Kaliteli işçilik için sonsuz teşekkürler Cemil hocam'da yayınlandı Hmaden HmadenTrustindex, incelemenin orijinal kaynağının Google olduğunu doğrular. Cemil Bey'e tavsiye üzerine geldim. Çözüm önerilerini şeffaf paylaşımı ile hemen güvenimi kazandı. En büyük travmam olan ölçü alınma sırasında kendimi boğulacak gibi hissettiren yöntem yerine, digital bir sistemle ölçülerim alındı. 1 saat içerisinde de geçici kaplamalarım takıldı. 2 gün sonra da gerçek kaplamalarım takıldı.Güvenle gidebilirsiniz. Çok teşekkür ederim Cemil Bey.'da yayınlandı Sheila NoordanusTrustindex, incelemenin orijinal kaynağının Google olduğunu doğrular. Excellent teeth in 1 week with M. Cemil Alpaydin. He has placed 2 crowns on top and 6 crowns on bottom. My teeth were crooked. And now I no longer have crooked teeth. It is real craftsmanship and precision work. I am very satisfied. The only downside is that the building itself requires overdue maintenance. It is very outdated. (French toilet)'da yayınlandı rabia çelikelTrustindex, incelemenin orijinal kaynağının Google olduğunu doğrular. Bende yirmilik dişimi çektirdim çok memnunum herkese tavsiye ederim, teşekkür ederim Mehmet Bey elinize emeğinize sağlık 🙏🏻'da yayınlandı Mykola SavelievTrustindex, incelemenin orijinal kaynağının Google olduğunu doğrular. Всем здравствуйте. Хочу поделиться позитивным опытом лечения зубов в этой клинике! Удалял 2 зуба и пломбировал 6 зубов, всё прошло отлично, очень доволен!РЕКОМЕНДУЮ!'da yayınlandı ASL MELEKTrustindex, incelemenin orijinal kaynağının Google olduğunu doğrular. Doktoruma cok tesekkur ederim.Titiz,isinin son derece ehli, iğne yaptigini dahi hissetmedim.3d teknolojileri ile çalışıyor.Hos sohbeti ve güler yüzüyle içinizi rahatlatiyor,guven veriyor.Ben biraz sorunlu bir hastaydim açıkçası.Panik atagimdan dolayi.Sabirla beni yatistirdi sağolsun.Ben çok memnun kaldim yapilan işten de,doktorumun yaklasimindan da.Doğrulayan: TrustindexTrustindex doğrulanmış rozeti, Güvenin Evrensel Sembolüdür. Sadece en iyi şirketler, 4.5 üzerinde bir değerlendirme puanına sahip olan doğrulanmış rozeti alabilir, son 12 ay içinde müşteri incelemelerine dayalı olarak. Daha fazla oku
© 2024 Her hakkı saklıdır.